Tooth Whitening & Internal Bleaching
Professional tooth whitening for discolored teeth after root canal treatment. Internal and external bleaching options to restore your natural smile.
Professional Tooth Whitening Options
We offer both internal and external tooth whitening solutions. Internal bleaching is the process of whitening a tooth that previously had a root canal, addressing discoloration from the inside of the tooth. We also provide external bleaching for comprehensive tooth whitening results.

Why Professional Tooth Whitening is Needed
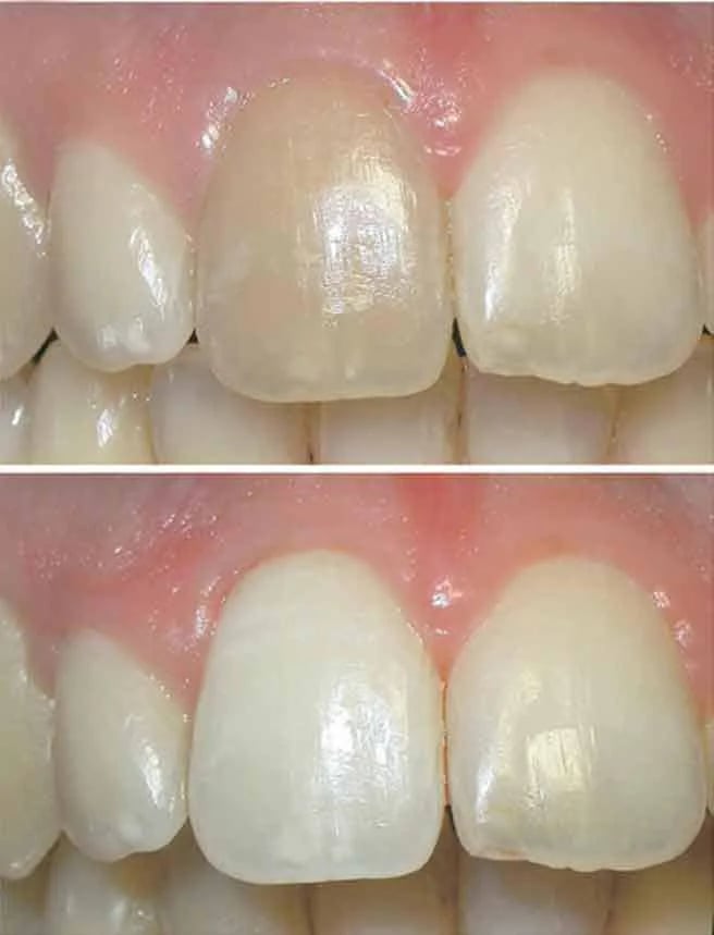
Teeth with root canals will discolor over time due to the removal of the tooth's nerve and blood supply. This can result in a gray, dark, or yellow appearance that stands out from surrounding teeth. Professional tooth whitening can restore your natural smile with both internal and external bleaching techniques.
Complete Tooth Whitening Solutions
Internal Bleaching
External Bleaching
Sometimes internal bleaching alone may not achieve the desired results. In these cases, we coordinate with your general dentist for external bleaching to ensure optimal tooth whitening results and a beautiful, uniform smile.
Internal Bleaching Procedure
Learn about the internal bleaching process and how it can restore your tooth's natural color.
The Internal Bleaching Process
Internal bleaching is an efficient process that typically takes 3-4 weeks with 2-4 treatment rounds to achieve optimal results.
Initial Evaluation
Assessment of the discolored tooth and surrounding teeth to determine the best whitening approach.
Access Preparation
A small reservoir is created in the top portion of the tooth to allow placement of the bleaching agent.
Bleaching Agent Placement
Professional-strength whitening agent is placed inside the tooth and sealed securely.
Periodic Monitoring
Regular evaluations every 5-7 days to monitor progress and match the shade to adjacent teeth.
Final Assessment
Completion of treatment when desired shade is achieved, typically taking 3-4 weeks with 2-4 rounds of treatment.

The internal bleaching process restores your tooth's natural color from the inside out
Benefits of Internal Bleaching
Internal bleaching offers a conservative approach to restoring your tooth's natural appearance.
Restore Natural Appearance
Eliminate discoloration and restore the tooth to match surrounding teeth.
Conservative Treatment
Whitens from inside without affecting the tooth structure or neighboring teeth.
Efficient, Natural Results
Achieves natural-looking results in 3-4 weeks with 2-4 treatment rounds.
Long-Lasting Results
Internal bleaching provides durable whitening that can last for years.
Are You a Candidate?
Internal bleaching may be right for you if you have specific concerns about tooth discoloration.
Good Candidates Include:
Important Considerations
• Internal bleaching typically requires 2-4 rounds of treatment over 3-4 weeks
• Each treatment round is spaced 5-7 days apart for optimal results
• Results do vary and sometimes require external bleaching with your general dentist
• Regular evaluations monitor progress and ensure proper shade matching
• The goal is to match the shade to your adjacent natural teeth
Restore Your Tooth's Natural Color
Don't let a discolored tooth affect your confidence. Internal bleaching can help restore your smile's natural beauty.
Internal Tooth Bleaching FAQ
Get answers to common questions about internal tooth whitening and bleaching procedures.
Serving the Greater Seattle Area
Professional tooth whitening services for patients throughout the Eastside communities. Internal and external bleaching options available.
Areas We Serve
Don't see your city listed? We welcome patients from throughout the greater Seattle area. Call us to discuss your tooth whitening needs.